娄底市第三人民医院 娄底市第三人民医院

您当前位置:网站首页 >>文章内容

生命之舟远航:中西医肺癌规范和精准治疗(娄底三医院肿瘤防治篇)
信息来源:本站 作者:admin 更新日期:2023-3-7 8:26:47

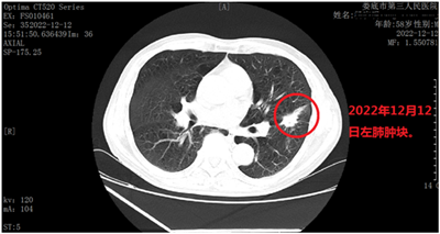
202212月,新冠疫情肆虐,全国人民诚惶诚恐,谈新冠色变,很多人稍有咳嗽就来医院做肺部CT,生怕感染新冠变白肺。患者杨某某,就是这些人中的一个,由于咳嗽来娄底市第三人民医院查肺部CT,没有发现白肺,却发现左肺下叶内前底段叶间裂旁见大小约29X14mm结节状高密度灶,其内可见空泡影,边缘毛糙,可见不规则毛刺、分叶及棘状突起,叶间胸膜牵位轻度移位,LU-RADS4C类,考虑周围型肺癌(见下图)。

1212日患者在娄底市第三人民医院肿瘤科行肺穿刺活检,确诊为左肺低分化腺癌(见下图),建议手术切除,患者由于个人原因拒绝手术治疗,要求保守治疗。

由于患者拒绝手术治疗,没办法,只能先给予中西医结合保守治疗。

经两个多月中西医结合保守治疗后,2023221日患者复查肺部CT示肿块明显缩小(见下图),患者喜出望外,认为中西医结合保守治疗有效,仍拒绝手术。对此我们高度重视,组织MDT讨论后,仍建议患者手术治疗。

穿刺活检并病理分型分期,针对个体制订治疗策略,才能最大程度的延长患者生存时间并改善生活质量。虽然手术是肺癌首选的治疗手段,近年来,国际上推出了术前先辅助诱导化疗、术后辅助化疗以及同步放化疗、生物靶向治疗,中西医结合治疗等肿瘤多种治疗方案,这些方案的制定基于肺癌患者的个体差异及肿瘤的异质性和治疗选择,只有这样才能最终为患者制定出最科学合理、完整、疗效好的规范精准的综合治疗方案。(图文:李澍;编缉:吴飞非;一审:李慧;二审:袁永集)


机关/事业单位标识
By:Nzcms v7.6.6-4174